
21.5 inch LCD monitor with the latest technology,
ensuring the best enhancement of the details and a full-screen mode
Wide multi-function tablet – like touchscreen
for uncompromising ease of use
Extensive multimedia, Wireless connectivity with DICOM, IHE Multi-modality archive, Mylab Tablet, eStreaming, MyLab Remote 
Diversity range of Probe, iQ aND apple technology, meet global quality standards FDA (USA), CE (Europe) 
XStrain4D Comprehensive evaluate myocardial strain of Left Ventrical, simulate 4D LV detail segment 
HyperDoppler – Research and Evaluate Cardiac funtions through Intracardiac flow dynamics analysis with vortex, kinetic energy and circulation parametric maps. 
MicroV – Microvascular Ultrasound Detection, super sensitive with micro vessels and low velocity flows, especially in characterize lesion vascularity 
Realtime QAs – Artery Stiffness Quantitative technology by RF (Radio Frequency) for predicting arteriosclerosis and stock risk 
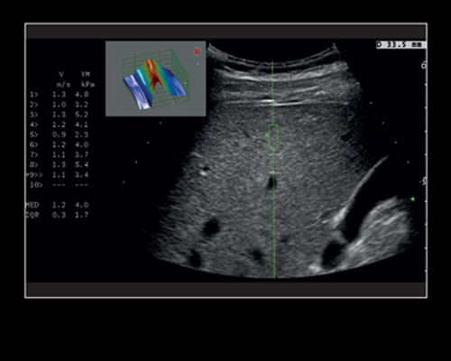
QElaXto with 3DeWave – Shearwave Elastography technology for tissue stiffness quantitative with unique SWE controlled diagram, enhance sensitivity and reproductivity. 
MicroE – This program enables ultrasound to detect the microcalcification, hyperechoic structures, increase sensitivity and value of ultrasound in diagnostic focal lesion property. 
QElaXto with 3DeWave – Shearwave Elastography technology for tissue stiffness quantitative with unique SWE controlled diagram, enhance sensitivity and reproductivity. 
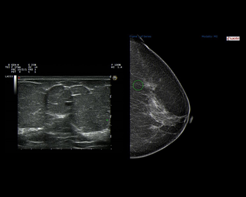
Fusion – Multimodality (DI) combine and merge to ultrasound for enhance diagnostic, interventional and biopsy on ultrasound effectively. 
AutoNT – Automessure the Nuchal translucency.
AutoIT – Automessure the Intracranial Translucency
XLight: highly innovated technology with virtual light and regenerated the fetal face, increase the 3D/4D image quality. 
XSTIC – spatial temporal image collaboration 
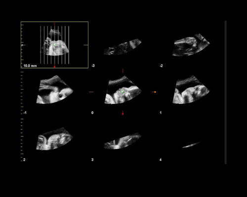
TMI – Tomographic Ultrasound Imaging 
TSI – Thick Slide Imaging 
VRA – Auto volume render analysis

